TÜRKÇE VAKA TARTIŞMA-1
- Dilek Altınsoy
- Dec 20, 2025
- 3 min read
VAKA 1 :
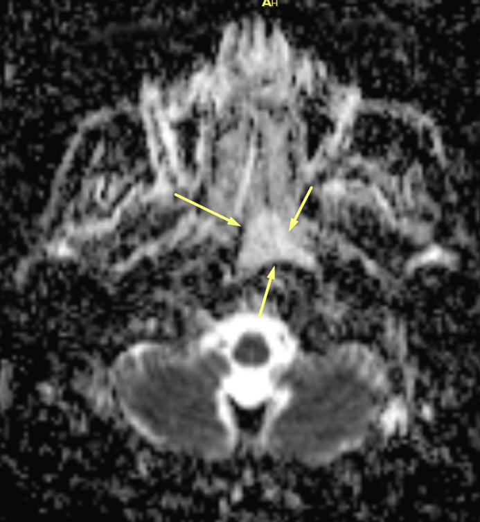
70 yaşında erkek hasta.Nazofarenks posterior duvarında, sol parasantral yerleşimli, yaklaşık 30×16 mm boyutlarında bir lezyon.”
Posterior duvar
Sol parasantral
Rosenmüller fossaya doğru parmak benzeri uzanım
MR’da ;


T1A da izointens


T2’de BOS’a göre daha düşük sinyalli ama hiperintens


FLAIR sekanslarda belirgin parlak
Bu noktada akla ilk gelen tanı şuydu:👉 Yoğun içerikli bir Thornwaldt kisti ?
🚩 Ancak hastanın yakın tarihli bir BT incelemesi mevcuttu. BT tetkikinde lezyonun dansitesi yaklaşık 60–70 HU ölçülüyordu.


🔴 BT’de 60–70 HU
Bu HU değeri basit kist için yüksek
Thornwaldt kisti genelde:
10–30 HU (seröz)
Nadiren proteinli ise 40–50 HU
➡ 60–70 HU = gerçek yumuşak dokuya çok yakın
🚩 Ayrıca lezyon Rosenmüller fossaya doğru uzanıyordu.
🔴 Rosenmüller fossaya belirgin uzanım
Thornwaldt genelde orta hatta olur
Rosenmüller fossa uzanımı NPC (nazofarenks karsinomu) için klasik yer
*İşte bu noktada akla gelen soru “acaba bu vaka sadece bir kist mi, yoksa daha fazlası mı? “ oldu.
Şu soruların cevabı çok belirleyici:
1️Kontrast sonrası bakıldı mı?
❌ Enhancement varsa → kist değil
✅ Sadece duvar incecik boyanıyorsa → kist lehine
2️Difüzyon (DWI)
Kist: genelde restriksiyon yok
Solid tümör: restriksiyon olabilir
3️Nazofarenks mukozası
Üzerinde mukozal kalınlaşma / asimetri var mı?
Eustachi tüp ağzında eşlik eden değişiklik?
Ayırıcı tanıda mutlaka düşünülmesi gerekenler
🔹 1. Nazofarenks karsinomu (erken / submukozal)
Düzgün konturlu olabilir (özellikle erken evrede)
Rosenmüller fossayı sever
T1 izo
T2 BOS’tan daha düşük hiper olabilir
BT’de 70–80 HU → çok uyarıcı
Kontrast sonrası bakıldı mı?
👉 Solid-enhancement varsa Thornwaldt dışlanır
🔹 2. Lenfoid hiperplazi / submukozal lenfoid doku
Yaş 70 → malignite lehine ama
Düzgün kontur
Yumuşak doku densitesi
Genelde simetrik olur ama tek taraflı olabilir
🔹 3. Mukus retansiyon kisti
Genelde orta hatta ve küçük boyutta olur, lateral uzanım nadir
Genç ve çocuk/ergenlerde daha sık
T2 sinyali yüksek (BOS gibi)
BT HU düşük (yaklaşık 10-40 HU)
Elimizde kontrastlı bir inceleme yoktu ancak arşive dönüp baktığımızda hastanın 4 yıl öce çekilmiş bir Beyin MR ve Beyin Dİffüzyon MR tetkikinin olduğunu gördük .
Lezyon 4 yıl önce de boyut ve morfoloji olarak aynı idi.

Hastanın 4 yıl önceki aksial T1 A ve T2A imajları
Ve lezyon diffüzyon kısıtlaması göstermiyordu.


DWI ADC
🔑 En kritik iki veri (tanıyı kilitleyen)
1️. Zaman faktörü
4 yıldan beri aynı boyutta / aynı morfolojide
Progressyon yok
➡ Nazofarenks karsinomu pratik olarak dışlanır
2️Difüzyon
Restriksiyon yok
➡ Solid malign lezyon olasılığı çok düşer
Bu iki bilgi bir araya geldiğinde, daha önceki tüm kırmızı bayraklar önemini büyük ölçüde kaybediyor.
Şimdi geriye ne kalıyor?
✅ Thornwaldt kisti – proteinli / yoğun içerikli tip
✔ Posterior nazofarenks yerleşimi
✔ Düzgün sınırlı
✔ T1 izo
✔ T2 BOS’tan düşük hiperintens (proteinli içerik)
✔ FLAIR sekansta parlak
✔ DWI negatif
✔ Yıllar içinde stabil
✔ BT’de yüksek HU → yoğun sekresyon / mukoid içerik
👉 60–70 HU artık dezavantaj değil, aksine “kronik, koyulaşmış içerik” göstergesi.
🔍 Rosenmüller fossaya uzanım konusu
Bu nokta hâlâ kafa karıştırıcı olabilir ama:
Thornwaldt kisti genişledikçe lateralize olabilir
“Parmak gibi” uzanım → kist herniasyonu / mukozal cep içine dolma
Mukozal infiltrasyon, kemik destrüksiyonu, efüzyon yok
➡ Benign davranış lehine
🧾 Rapor cümlesi
“Nazofarenks posterior duvarında, sol parasantral yerleşimli, Rosenmüller fossaya doğru uzanan, düzgün sınırlı, T1 izointens, T2’de BOS’a göre daha düşük sinyalli hiperintens, FLAIR sekanslarda belirgin hiperintens,BT de yüksek dansite veren ancak difüzyon kısıtlaması göstermeyen ve 4 yıl önceki imajlarla kıyaslandığında boyut ve morfolojisi stabil izlenen lezyon, protein içeriği yüksek Thornwaldt kisti ile uyumlu düşünülmüştür.
Comments