top of page
Neuroradiology-Brain Cases


A Mystery in the Mastoid Bone: Intradiploic Epidermoid Cyst Case No: NR.1.5.1.2.002
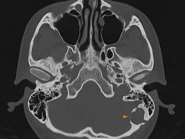
Clinical Profile Patient: 25-year-old female. Presentation: Slow-growing, painless, firm swelling in the left mastoid region. Radiological Findings: 1. CT: The Architecture A well-defined, lytic lesion significantly expanding the outer table of the left mastoid bone. The sclerotic margins indicate a slow-growing, benign process. 2. MRI: Tissue Identity T1W Axial T2W Axial T1: Hypointense. T2: Heterog eneously hyperintense. Contrast T1: No internal enhancement, but minimal p
Dr.Dilek Altınsoy-Radiologist/Founder of @radiologycasediscussion
1 day ago1 min read


Curvilinear Pericallosal Lipoma-Case Discussion CaseNo NR.1.4.1.1.001
**Sagittal section clearly demonstrate the curvilinear morphology and its relationship with the corpus callosum Clinical History: 35-year-old female, incidental finding. Radiological Findings: A thin, curvilinear T1-hyperintense lesion is observed extending along the callosal sulcus, following the dorsal aspect of the corpus callosum. The signal characteristics are consistent with fat. There is no associated corpus callosum agenesis or dysgenesis; the corpus callosum appear
bottom of page