top of page
SUBSCRIBE NOW
INSTAGRAM
Log In
Menu
Close
Shop / Mağaza
Subscribe / Abone Ol
Sign UP for Free
Mini Packages-Thorax
About me
Premium Cases
Radiology Library
Gastrointestinal System
Head & Neck Cases
Neururadiology-BrainCases
Blog
Email
Search radiology cases..
Cases are selected from my personal archive
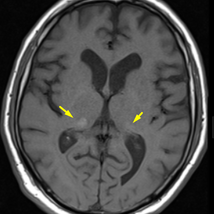
Fahr Disease and Fahr-like Calcifications (Secondary Fahr) – Professional Radiology Notes
Dr.Dilek Altınsoy-Radiologist/Founder of @radiologycasediscussion
bottom of page